S A R P E R G Ü R S U
Vital Fulya Plaza, Hakkı Yeten Caddesi, No:23, Kat:5, Daire:16, Teşvikiye, Şişli, İstanbul
0 (545) 140 68 50
Prof. Dr. Sarper GÜRSU
  • Vital Fulya Plaza, Hakkı Yeten Caddesi, No:23, Kat:5, Daire:16, Teşvikiye, Şişli, İstanbul
  • 0 (545) 140 68 50
  • info@profdrsarpergursu.com

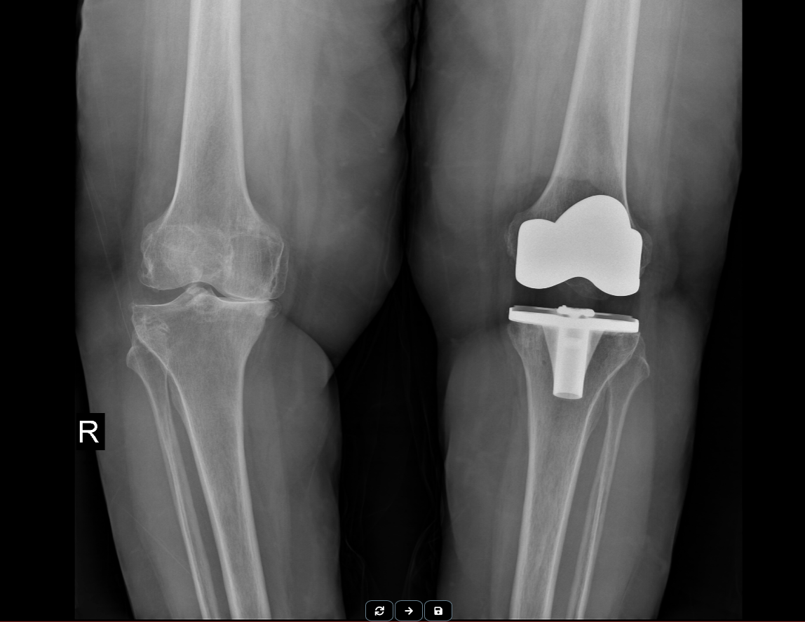
Total diz protezi

Total Diz Protezi
 
Total diz protezi, ya da diğer adıyla diz protezi, diz eklem kıkırdaklarında yaygın ve ciddi derecede bozulma olduğunda, yani diz ekleminde kireçlenme varlığında, ağrının giderilmesinde kullanılan en başarılı tedavi yöntemlerinden birisidir.

Diz eklem kireçlenmesinde ilk olarak ameliyat dışı yöntemler mutlaka denenmelidir. Söz konusu yöntemler ağrıyı gidermede başarılı olursa ameliyat ötelenebilir, daha geç bir zamana bırakılabilir. Ne zaman ki, bu yöntemler ile ağrı giderilememeye başlar ya da eklemde hareket kısıtlılığı gibi başka sorunlar ortaya çıkmaya başlar o zaman diz protezi tedavisi düşünülmelidir. Esas olarak diz protezi tıpkı kalça protezinde olduğu gibi eklem yüzeylerinin suni yüzeylerle değiştirilmesi esasına dayanan bir işlemdir.

Kimlere diz protezi yapılmalıdır?

Diz ekleminde ileri derecede kıkırdak dejenerasyonu sebebiyle ağrısı olan, ağrısı istirahat ya da uyurken dahi ortaya çıkabilen, ameliyat dışı yöntemlerle ağrısı rahatlamayan, günlük yaşantısı kısıtlanmaya başlamış olan hastalar için diz protezi uygulanabilir.

Günümüzde; diz protezi uygulamalarında bir yaş ya da kilo sınırı yoktur. Bununla beraber, daha genç hastalarda protez dışı tüm yöntemler tüketilmiş olmalıdır. Ayrıca, obezite yani aşırı kilo varlığının protez ameliyatını ve ameliyat sonrası dönemi, özellikle de rehabilitasyon sürecini olumsuz etkilediği bilinmektedir. Ayrıca protezin kullanım ömrünü de kısalttığına dair görüşler bulunmaktadır.

Diz protezlerinin parçaları nelerdir?

Bir total diz protezi uygulamasında kullanılan protezler temel olarak 3 bölümden oluşur. Bunlar femur adı verilen uyluk kemiğinin alt ucunu örten parça, tibia adı verilen kaval kemiğinin üst ucunu örten parça ve son olarak da bu iki kısım arasında hareketliliğe katkı veren; sürtünmeyi azaltan insört adı verilen kısım.

Bazı ameliyatlarda ise bu temel 3 parçanın haricinde ek olarak başka parçalar da gerekli olabilmektedir. Protezler ekleme yerleştirilirken duruma göre vida ya da kemik çimentosu gibi malzemeler kullanılmaktadir.

Diz protezlerinin çeşitleri nelerdir?

Teknolojik gelişmelerle beraber kalça protez ameliyatlarında kullanılabilen implantlar artmakta ve hastalar ile cerrahlara çok çeşitli imkanlar sunmaktadır. Diz protezlerinde ön çapraz bağı koruyan ve korumayan, hareketli ya da hareketsiz insörtlü gibi pek çok seçenek mevcut olup; bu çeşitler arasındaki seçim hastanın yaşı, beklentileri, yaşam tarzı, diz anatomisi ve eklemdeki dejenerasyonun derecesine göre değişiklik göstermektedir. Hangi hasta için hangi çeşit implantın kullanılacağı belirlenirken tüm bu faktörler göz önünde bulundurulmalı ve seçim hasta ile beraber yapılmalıdır.

Diz protezi sonrasında dikkat edilmesi gereken durumlar nelerdir?


 
  • Düzenli ve hijyenik yara bakımı yapılmalıdır.
  • Diş absesi veya idrar yolu enfeksiyonu gibi protez enfeksiyonuna yol açabilecek durumlar süratle tedavi edilmelidir.
  • Ameliyatlı bacağa yük verilmesi, egzersiz programı uygulanması ve eklem hareket açıklığının kazanılması gibi doktor önerilerine uyulmalıdır.
  • Erken dönemde önerilen hareket kısıtlamalarına uyulmalıdır.
  • Cerrah tarafından verilen ilaçlar önerilen sürelerde, eksiksiz olarak kullanılmalıdır.